´Å¹²Õñʵʱָµ¼·ÅÉäÖÎÁÆÍøÂç×êÑлá2022¼¾£¨¶þ£©
¸´ÐÇÒ½ÁÆÆ÷еÃÀÖл¥ÀûÒ½ÁÆ
ÃÀ¹úÍþÈð¹«Ë¾/ViewRay Inc.
MRÖ¸µ¼·ÅÉäÖÎÁÆÔÚǰÏßÏÙÖеÄ×÷ÓÃ
Dr. Philip Camilleri
MRÖ¸µ¼·ÅÉäÖÎÁÆÔÚǰÏßÏÙÖеÄ×÷ÓÃ
-
ºÍºÉÀ¼°¢Ä·Ë¹Ìص¤µÄVUMCÒ½Ôº½¨ÉèÁËÇ×½üµÄÏàÖú
-
ʹÓþùÒ»¼ÁÁ¿£¬£¬£¬£¬£¬£¬£¬Ôݲ»±Ø°ÐÇøÄÚͬ²½ÍÆÁ¿
-
ÔÚÿ¸ö·Ö´ÎÖÎÁÆÊ±¾ÙÐÐÔÚÏß×Ô˳ӦÓÅ»¯
-
²»ÔÚÖ±³¦ºÍǰÏßÏÙ¼äÖ²ÈëÄý½ºÍÑÀëÎSpacer£©
-
½Ï¶ÌµÄÖÎÁÆ×ÜÁÆ³Ì -
½ÏµÍµÄ¸±·´Ó¦ -
½ÏºÃµÄÄÍÊÜÐÔ

Dr. CamilleriÊ×ÏÈÏÈÈÝÁËGenesisCareÔÚMRIdianÉÏÖÎÁƲ¡ÖÖµÄÂþÑÜÇéÐΣ¬£¬£¬£¬£¬£¬£¬ÆäÖÐǰÏßÏÙ°©ºÍÉϸ¹²¿Ö×ÁöΪÖ÷Òª²¡ÖÖ£¬£¬£¬£¬£¬£¬£¬»®·Ö¸÷Õ¼45%ºÍ40%¡£¡£¡£¡£¡£¡£

Figure 2?GenesisCareÔÚMRIdianÉÏÖÎÁƲ¡ÖÖµÄÂþÑÜÇéÐÎ
-
MRIÓ°Ïñ£ºÖ»¹ÜMRIdian³¡Ç¿Ö»ÓÐ0.35T£¬£¬£¬£¬£¬£¬£¬µ«ÆäÄÜ»ñµÃÇåÎúµÄÕï¶Ï¼¶MRIÓ°Ïñ£¬£¬£¬£¬£¬£¬£¬Ó°ÏñÖÊÁ¿½Ï¼Ñ¡£¡£¡£¡£¡£¡£
-
ÖðÈÕ×Ô˳Ӧ£ºMRIdianÔÊÐíÓû§ÔÚÖðÈÕÖÎÁÆÊ±¾ÙÐÐMRIɨÃ裬£¬£¬£¬£¬£¬£¬Òò´Ë¿ÉÒÔ¿´µ½Ö×ÁöºÍΣ¼°Æ÷¹Ù£¨OAR£©ÐµÄÐÎ×´ºÍλÖ㬣¬£¬£¬£¬£¬£¬¿ÉÒԾݴËÀû±ãµØµ÷½âÂÖÀª¹´»ºÍÔÚÏß×Ô˳ӦÍýÏë¡£¡£¡£¡£¡£¡£
-
×Ô¶¯×é֯׷×ÙºÍ×Ô¶¯ÃſسöÊø£ºMRIdianÁíÒ»¸öÆæÒìµÄÓÅÊÆÊÇÄÜÔÚMRIÓ°Ï·³ÉÏñϾÙÐÐ×Ô¶¯×é֯׷×ÙºÍ×Ô¶¯ÃſسöÊø£¬£¬£¬£¬£¬£¬£¬ÕâÑù¾ÍÄܰü¹Ü½öµ±°ÐÇøÎ»ÓÚÕÕÉä´°ÄÚ£¬£¬£¬£¬£¬£¬£¬ÏµÍ³²Å»á¾ÙÐгöÊø¡£¡£¡£¡£¡£¡£
-
¹¦Ð§³ÉÏñ£ºMRIdian¿ÉÒÔÊÕÂÞ¹¦Ð§´Å¹²Õñ³ÉÏñ£¬£¬£¬£¬£¬£¬£¬¿ÉÒÔÆÀ¹ÀÖ×Áö¶Ô·ÅÁƵķ´Ó¦¡£¡£¡£¡£¡£¡£

ÁíÍ⣬£¬£¬£¬£¬£¬£¬Dr. Camilleri»¹Õ¹Ê¾ÁËһλ÷ÅÊàŦÖû»ÊõºóǰÏßÏÙ»¼ÕßMRIdian 0.35T MRIÓ°ÏñºÍCT¶¨Î»Í¼Ïñ£¬£¬£¬£¬£¬£¬£¬MRIdian MRIͼÏñÊܽðÊô÷ÅÊàŦ¼ÙÌåÓ°Ïì½ÏС£¬£¬£¬£¬£¬£¬£¬ÈÔÄÜ¿´Çå°ÐÇøºÍËùÓÐΣ¼°Æ÷¹Ù£¬£¬£¬£¬£¬£¬£¬¼ûFigure 5¡£¡£¡£¡£¡£¡£ÒÔÊÇ£¬£¬£¬£¬£¬£¬£¬ÈÔÈ»ÄÜΪ»¼ÕßÌṩÖðÈÕÔÚÏß×Ô˳Ӧ·ÅÁÆÍýÏ룬£¬£¬£¬£¬£¬£¬µ«ÖµµÃ×¢ÖØµÄÊÇ£¬£¬£¬£¬£¬£¬£¬ÉäÊø±ØÐè±Ü¿ª½ðÊô÷ÅÊàŦ£¬£¬£¬£¬£¬£¬£¬¼ûFigure 6¡£¡£¡£¡£¡£¡£

Figure 5?Dr. CamilleriչʾµÄ÷ÅÊàŦÖû»ÊõºóǰÏßÏÙ»¼ÕßMRIdian 0.35T MRIÓ°Ïñ£¨×󣩺ÍCT¶¨Î»Í¼Ïñ£¨ÓÒ£©£¬£¬£¬£¬£¬£¬£¬MRIdian MRIͼÏñÊܽðÊô÷ÅÊàŦ¼ÙÌåÓ°Ïì½ÏС

Figure 6?MRIdian MRIͼÏñÊܽðÊô÷ÅÊàŦ¼ÙÌåÓ°Ïì½ÏС£¬£¬£¬£¬£¬£¬£¬ÈÔÈ»ÄÜΪ»¼ÕßÌṩÖðÈÕÔÚÏß×Ô˳ӦÍýÏëµ÷½â
ͨ¹ýչʾһλ×ó²à¾«ÄÒÏÙ°©µÄÔʼÍýÏëºÍÖðÈÕ×Ô˳ӦÍýÏ룬£¬£¬£¬£¬£¬£¬ÇåÎúÏÔʾÁ˰ÐÇøºÍΣ¼°Æ÷¹ÙÔÚÿ´Î·ÅÁÆÊ±¾ùÓнϴóת±ä£¬£¬£¬£¬£¬£¬£¬Í¨¹ýMRIdianÔÚÏß×Ô˳Ӧ¹¦Ð§£¬£¬£¬£¬£¬£¬£¬¿ÉÒÔÔڽϺéÁ÷ƽÉÏÐÞÕýÕâЩת±ä£¬£¬£¬£¬£¬£¬£¬ÔÚ×öµ½¸øÓè°ÐÇø¸ß¼ÁÁ¿µÄͬʱ£¬£¬£¬£¬£¬£¬£¬¾¡¿ÉÄܵÄïÔÌΣ¼°Æ÷¹ÙµÄ¼ÁÁ¿¡£¡£¡£¡£¡£¡£
ÔÚʹÓÃMRIdianÒÔSABR·ÅÉäÏûÈÚ·½·¨ÖÎÁÆ»¼Õß²»¾Ãºó£¬£¬£¬£¬£¬£¬£¬Ó¢¹ú¾ÍÔâÓöµ½ÁËйÚÒßÇ飬£¬£¬£¬£¬£¬£¬µ¼Ö´ó×Ú·ÅÁÆÖÐÐÄËõ¼õ¡¢×èֹЧÀÍ£¬£¬£¬£¬£¬£¬£¬ÉõÖÁ¹ØÍ£¡£¡£¡£¡£¡£¡£GenesisCareÔÚÒßÇéʱ´úΪ¾ÍÕïµÄËùÓÐǰÏßÏÙ°©»¼Õߣ¬£¬£¬£¬£¬£¬£¬¶¼¾ÙÐÐ5¸ö·Ö´ÎµÄSABR·ÅÉäÏûÈÚÖÎÁÆ¡£¡£¡£¡£¡£¡£µÚÒ»ÄêʹÓõļÁÁ¿Ö§½âΪ36.25Gy/5F£¬£¬£¬£¬£¬£¬£¬µÚ¶þÄêÉý¼¶Á˹æ³Ì£¬£¬£¬£¬£¬£¬£¬ÔÚ±£»£»£»£»£»£»£»¤Î£¼°Æ÷¹ÙµÄ»ù´¡ÉÏ£¬£¬£¬£¬£¬£¬£¬¸øÓè°ÐÇøÄÚͬ²½ÍÆÁ¿ÖÁCTV 40Gy/5F£¬£¬£¬£¬£¬£¬£¬PTV 36.25Gy/5F¡£¡£¡£¡£¡£¡£
¹ØÓÚΪǰÏßÏÙ°©»¼Õß¾ÙÐÐÉٷִδó¼ÁÁ¿µÄ·ÅÉäÏûÈÚ£¬£¬£¬£¬£¬£¬£¬Dr. CamilleriÌṩÁË´ó×ÚÎÄÏ×ÒÀ¾Ý£¬£¬£¬£¬£¬£¬£¬ÔÚ·ÅÉäÉúÎïѧÏßÐÔ¶þ´Î·½³ÌÄ£×ÓÖУ¬£¬£¬£¬£¬£¬£¬Ç°ÏßÏÙ°©µÄ¦Á/¦ÂÖµºÜµÍ£¬£¬£¬£¬£¬£¬£¬Ô¼Äª½öΪ1.4£¬£¬£¬£¬£¬£¬£¬¼ûFigure 9¡£¡£¡£¡£¡£¡£Ïà±ÈÆäËü¦Á/¦ÂÖµ½Ï¸ßµÄÖ×Áö£¬£¬£¬£¬£¬£¬£¬¶ÔǰÏßÏÙ°©À´ËµÉٷִδó¼ÁÁ¿¾ßÓиü¸ßµÄÖ×Áöϸ°ûɱÉËÁ¦¡£¡£¡£¡£¡£¡£

Figure 9?ǰÏßÏÙ°©µÄ¦Á/¦ÂÖµ
¾Í·ÅÉäÏûÈÚÖÎÁÆÏà±ÈͨÀýÖ§½âµÄÁÙ´²Ð§¹û£¬£¬£¬£¬£¬£¬£¬ÏÖÔÚÖ÷ÒªÓÐÁ½¸öÁÙ´²ÊÔÑ飬£¬£¬£¬£¬£¬£¬Ò»¸öÊÇHYPO-RT-PC£¬£¬£¬£¬£¬£¬£¬ÁíÒ»¸öÊÇPACE-B£¬£¬£¬£¬£¬£¬£¬ÕâÁ½¸öÁÙ´²ÊÔÑé¾ùÅú×¢·ÅÉäÏûÈÚ²»ÁÓÓÚͨÀýÖ§½â¡£¡£¡£¡£¡£¡£
Figure 10?ǰÏßÏÙ°©µÄ·ÅÉäÏûÈÚÁÙ´²Ñо¿£ºHYPO-RT-PCºÍPACE-B
ÔÚKishan½ÒÏþµÄ¹ØÓںϲ¢SBRTµÄÑо¿ÖУ¬£¬£¬£¬£¬£¬£¬ËѼ¯ÁË12Ïîµ¥×é¶þÆÚÑо¿£¬£¬£¬£¬£¬£¬£¬Èë×éÁË2000¶àÃû»¼Õߣ¬£¬£¬£¬£¬£¬£¬Ð§¹û֤ʵ£¬£¬£¬£¬£¬£¬£¬·ÅÉäÏûÈÚÔÚïÔÌ·ÅÁƶ¾ÐÔÉÏÓÐÏÔ×ŵÄÓÅÊÆ¡£¡£¡£¡£¡£¡£ÁíÍ⣬£¬£¬£¬£¬£¬£¬ºÉÀ¼°¢Ä·Ë¹Ìص¤½ÒÏþµÄMRIdian´Å¹²ÕñÖ¸µ¼Ç°ÏßÏÙ°©·ÅÉäÏûÈÚÖÎÁƵ¥×é¶þÆÚÑо¿Åú×¢£¬£¬£¬£¬£¬£¬£¬MRIdianÄÜÓиüºÃµÄÔ¤ºó¡£¡£¡£¡£¡£¡£

Figure 11 ǰÏßÏÙ°©µÄ·ÅÉäÏûÈÚÁÙ´²Ñо¿£ºKishanµÄ»ã×ÜÑо¿ºÍ´Å¹²ÕñÖ¸µ¼·ÅÉäÖÎÁƵÄÑо¿

Figure 12 ǰÏßÏÙ°©µÄ·ÅÉäÏûÈÚÁÙ´²Ñо¿£ºKishanºÍUCLA¾ÙÐеÄMIRAGEÁÙ´²ÊÔÑé
?MRIdian´Å¹²ÕñÖ¸µ¼·ÅÉäÖÎÁƵķÅÁÆÍýÏëºÍÂÖÀª¹´»
Dr. CamilleriÌåÏÖ£¬£¬£¬£¬£¬£¬£¬ËûÃÇÔÚ×öÔÚÏß×Ô˳Ӧ·ÅÁƵÄʱ¼ä£¬£¬£¬£¬£¬£¬£¬ÎªÁËÌá¸ßËÙÂÊ£¬£¬£¬£¬£¬£¬£¬½ö¶Ô°ÐÇøÍâ·Å3cmÒÔÄÚµÄΣ¼°Æ÷¹ÙµÄת±ä¾ÙÐÐ×Ô˳Ӧµ÷½â»òÖØÐ¹´»ÂÖÀª£¬£¬£¬£¬£¬£¬£¬¼ûFigure 13¡£¡£¡£¡£¡£¡£ÕâÑù¿ÉÒÔËõ¶ÌÂÖÀª¹´»µÄʱ¼ä¡£¡£¡£¡£¡£¡£¹ØÓÚ·ÅÁÆÍýÏ룬£¬£¬£¬£¬£¬£¬Ê¹µÃ95%µÄ°ÐÇøÌå»ý½ÓÊܵ½100%µÄ´¦·½¼ÁÁ¿ÁýÕÖ£¬£¬£¬£¬£¬£¬£¬²¢½«×î´ó¼ÁÁ¿ÏÞÖÆÎª2%µÄ°ÐÇøÌå»ý²»Áè¼Ý´¦·½¼ÁÁ¿µÄ110%£¬£¬£¬£¬£¬£¬£¬ÕâÑù¾ÍÄܰü¹ÜÔÚͼÏñÉϺÜÄÑÏÔʾµÄÄòµÀ²»»á³¬Á¿£¬£¬£¬£¬£¬£¬£¬¼ûFigure 14¡£¡£¡£¡£¡£¡£ÁíÍ⣬£¬£¬£¬£¬£¬£¬ÔÚÖÆ×÷·ÅÁÆÍýÏëʱ£¬£¬£¬£¬£¬£¬£¬½«PTV·ÖΪPTV LOWºÍPTV High£¬£¬£¬£¬£¬£¬£¬PTVºÍΣ¼°Æ÷¹ÙÖØµþµÄ²¿·ÖΪPTV LOW£¬£¬£¬£¬£¬£¬£¬½«PTV LOWµÄ¼ÁÁ¿Ä¿µÄÉ趨ÔÚΣ¼°Æ÷¹ÙµÄÄÍÊܼÁÁ¿ÒÔÏ£¬£¬£¬£¬£¬£¬£¬ÕâÑù¾ÍÄܰü¹ÜΣ¼°Æ÷¹Ù²»³¬Á¿£¬£¬£¬£¬£¬£¬£¬¼ûFigure 15¡£¡£¡£¡£¡£¡£

?ǰÏßÏÙ°©ÖðÈÕÔÚÏß×Ô˳ӦÍýÏëµ÷½âµÄÒâÒå
ǰÏßÏÙ°©·ÅÁÆÊ±ÈôʹÓÃÔÍýÏëµÄ¼ÁÁ¿ÂþÑÜ£¬£¬£¬£¬£¬£¬£¬»áÓнϴóÇ·Á¿Çø£¬£¬£¬£¬£¬£¬£¬¿ÉÒÔͨ¹ýMRIdianÔÚÏß×Ô˳ӦÓÅ»¯Ä£¿£¿£¿£¿£¿£¿éÀû±ãµØ¸ÄÉÆÇ·Á¿¡£¡£¡£¡£¡£¡£

Figure 16ǰÏßÏÙ°©·ÅÁÆÊ±ÈôʹÓÃÔÍýÏëµÄ¼ÁÁ¿ÂþÑÜ£¬£¬£¬£¬£¬£¬£¬ÓнϴóÇ·Á¿Çø£¨×󣩣»£»£»£»£»£»£»ÔÚÏßÓÅ»¯ºóµÄ¼ÁÁ¿ÂþÑÜ£¬£¬£¬£¬£¬£¬£¬ÎÞÇ·Á¿Çø£¨ÓÒ£©
?ǰÏßÏÙ°©·Ö´ÎÄÚÔ˶¯ÖÎÀí

?ǰÏßÏÙ°©·Ö´Î¼äÔ˶¯ÖÎÀí
Dr. CamilleriÌåÏÖǰÏßÏÙ·ÅÁƵķִμ䣬£¬£¬£¬£¬£¬£¬Ç°ÏßÏÙµÄÒÆ¶¯¶È²»Ëã´ó£¬£¬£¬£¬£¬£¬£¬µ«¾«ÄÒÏÙµÄÒÆ¶¯¶È½Ï´ó£¬£¬£¬£¬£¬£¬£¬¿ÉÒÔµÖ´ï5mm×óÓÒ£¬£¬£¬£¬£¬£¬£¬Í¨¹ýMRIdianÖðÈÕÔÚÏß×Ô˳ӦÍýÏëµ÷½â¿ÉÒÔÐÞÕýÕâЩÔ˶¯¡£¡£¡£¡£¡£¡£

Figure 18?ǰÏßÏÙ·ÅÁƵķִμ䣬£¬£¬£¬£¬£¬£¬Ç°ÏßÏÙµÄÒÆ¶¯¶È²»Ëã´ó£¬£¬£¬£¬£¬£¬£¬µ«¾«ÄÒÏÙµÄÒÆ¶¯¶È½Ï´ó
Ö»¹ÜǰÏßÏÙ°©µÄ·ÅÁÆÁÆÐ§½ÏºÃ£¬£¬£¬£¬£¬£¬£¬µ«Òź¶µÄÊÇÈÔÓÐ30-50%µÄ»¼ÕßÅöÃæÁÙ¸´·¢£¬£¬£¬£¬£¬£¬£¬ÇÒ20-30%µÄ»¼ÕßΪǰÏßÏÙ°ÐÇøÄÚ¸´·¢£¬£¬£¬£¬£¬£¬£¬¶ø¸´·¢µÄ»¼Õß½ö½öÓÐ2%½ÓÊÜÁ˽øÒ»²½µÄ¾Ö²¿Õü¾ÈÐÔÖÎÁÆ£¬£¬£¬£¬£¬£¬£¬ÀýÈçÕü¾ÈÐÔǰÏßÏÙÇгýÊõ¡¢³¬Éùµ¶»òÕßÊÇÀä¶³ÖÎÁÆ¡£¡£¡£¡£¡£¡£´ó²¿·Ö»¼ÕßµÄÖÎÁƼƻ®ÊÇÖÕÉíÐÛ¼¤ËØ×è¶ÏÁÆ·¨£¬£¬£¬£¬£¬£¬£¬¶øÕâÖÖÁÆ·¨ÍùÍù»á´øÀ´Ò»Ð©ÑÏÖØµÄ¸±×÷Ó㬣¬£¬£¬£¬£¬£¬»áÇÐʵӰÏìµ½»¼ÕßµÄÉúÑÄÖÊÁ¿¡£¡£¡£¡£¡£¡£Ö»ÓкÜÊÇרҵµÄÒ½Ôº²Å»ª¾ÙÐоֲ¿Õü¾ÈÐÔÖÎÁÆ¡£¡£¡£¡£¡£¡£
GenesisCareÖÆ¶©ÁËÆä¶ÔǰÏßÏÙ°©·ÅÁƺ󸴷¢µÄ´Å¹²ÕñÖ¸µ¼ÔٴηÅÁƵĹæ³Ì£¬£¬£¬£¬£¬£¬£¬°üÀ¨Ê¹Óöà²ÎÊýMRIͼÏñºÍPSMA PETͼÏñ£¬£¬£¬£¬£¬£¬£¬ÒªÇó¾ÙÐлî¼ì֤ʵ£¬£¬£¬£¬£¬£¬£¬»¹»áʵÑé°²ÅÅÖ±³¦-ǰÏßÏÙ×è¸ôÄý½º¡£¡£¡£¡£¡£¡£Æ¾Ö¤Ó°ÏñºÍ»î¼ìµÄÇéÐΣ¬£¬£¬£¬£¬£¬£¬¶ÔǰÏßÏÙËùÓÐÏÙÌå»ò²¿·ÖÏÙÌå¾ÙÐÐ30-35Gy/5´ÎµÄ·ÅÉäÏûÈÚÖÎÁÆ¡£¡£¡£¡£¡£¡£×èÖ¹2022Äê11Ô·ݣ¬£¬£¬£¬£¬£¬£¬GenesisCareÓ¢¹úÒѾÔÚMRIdianÉÏÖÎÁÆÁË12Àý¸´·¢µÄ»¼Õߣ¬£¬£¬£¬£¬£¬£¬¾ùÔÚÖ±³¦ºÍǰÏßÏÙÖ®¼ä°²ÅÅ×è¸ôÄý½º£¬£¬£¬£¬£¬£¬£¬ÎÞ¢ñ¶ÈÒÔÉϵÄÏû»¯µÀGI¶¾ÐÔ£¬£¬£¬£¬£¬£¬£¬ÓÐ4Ãû»¼ÕßÓТñ¶ÈÃÚÄòµÀGU¶¾ÐÔ£¬£¬£¬£¬£¬£¬£¬7Ãû»¼ÕßΪ¢ò¶ÈGU¶¾ÐÔ¡£¡£¡£¡£¡£¡£
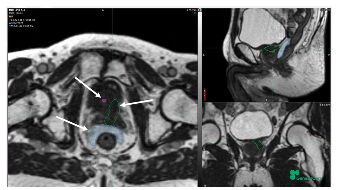
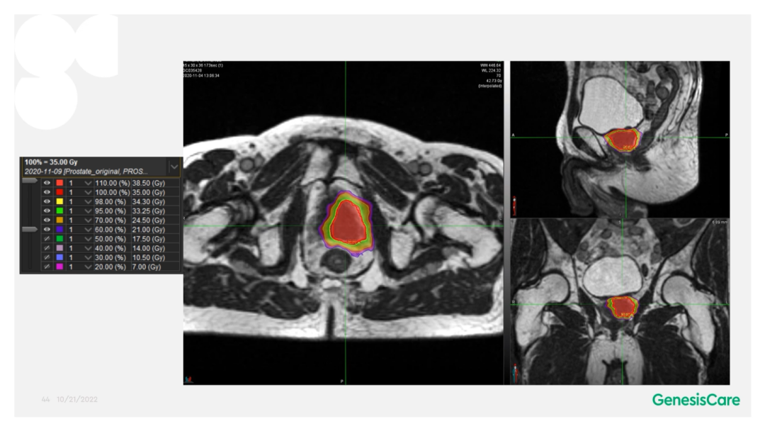
Dr. CamilleriÏÈÈÝÁËһλ72Ë꣬£¬£¬£¬£¬£¬£¬ÔÚ2006Äê½ÓÊÜÁË55Gy/20F·ÅÁƺ󸴷¢µÄǰÏßÏÙ°©»¼Õß¡£¡£¡£¡£¡£¡£ÆäʱËüµÄPSAΪ28£¬£¬£¬£¬£¬£¬£¬¾Ö²¿ÍíÆÚ£¬£¬£¬£¬£¬£¬£¬ÆÚ±ðΪT3aN0M0¡£¡£¡£¡£¡£¡£PET-CTÏÔʾǰÏßÏÙ×óºó²¿¾Ö²¿¸ß´úл£¬£¬£¬£¬£¬£¬£¬»î¼ìҲ֤ʵÁËÕâÒ»µã£¬£¬£¬£¬£¬£¬£¬²¢ÇÒ»î¼ìЧ¹ûÅú×¢Ö×ÁöÇÖÈë×ó²à¾«ÄÒÏٵײ¿¡£¡£¡£¡£¡£¡£½«ÆäMRIdian MRIͼÏñºÍPET-CTͼÏñÈںϺ󣬣¬£¬£¬£¬£¬£¬ÔÙÆ¾Ö¤»î¼ìЧ¹ûÈ·¶¨°ÐÇø£¬£¬£¬£¬£¬£¬£¬¼ûFigure 20-22£¬£¬£¬£¬£¬£¬£¬²¢ÖÆ×÷·ÅÁÆÍýÏë¡£¡£¡£¡£¡£¡£·ÅÁƼÁÁ¿Îª35Gy/5´Î£¬£¬£¬£¬£¬£¬£¬Äý½º×è¸ôÎïºÜºÃµØ°üÀ¨ÁËÖ±³¦£¬£¬£¬£¬£¬£¬£¬¼ûFigure 23£¬£¬£¬£¬£¬£¬£¬°ÐÇøºÍΣ¼°Æ÷¹ÙÊÜÁ¿¼ûFigure 24¡£¡£¡£¡£¡£¡£»£»£»£»£»£»£»¼ÕßÓÚ2020Äê12Ô½ÓÊÜÖÎÁÆ£¬£¬£¬£¬£¬£¬£¬ËûÌåÖʺܺ㬣¬£¬£¬£¬£¬£¬ÔÚ·ÅÁÆÊ±´úºÍÖ®ºó£¬£¬£¬£¬£¬£¬£¬¼á³ÖÿÖÜÈý´Î5¹«ÀïÅܲ½£¬£¬£¬£¬£¬£¬£¬Ê¼ÖÕδ·ºÆðGUºÍGI¶¾ÐÔ¡£¡£¡£¡£¡£¡£ËûµÄPSA×îµÍֵΪ0.45£¬£¬£¬£¬£¬£¬£¬ÔÚ2022Äê5ÔµÄËæ·ÃÊý¾ÝÖУ¬£¬£¬£¬£¬£¬£¬ØºÍè¼¤ËØË®Æ½»Øµ½ÁËÕý³£µÄ33%¡£¡£¡£¡£¡£¡£ÔÚ2022Äê1ÔµķÅÁƺóPSMA PETµÄͼÏñÉÏ£¬£¬£¬£¬£¬£¬£¬Î´¼ûÖ×Áö¸ß´úл¼ûFigure 25¡£¡£¡£¡£¡£¡£




Figure 23?·ÅÁƺ󸴷¢µÄǰÏßÏÙ°©»¼ÕßÔÚMRIdianÉϵķÅÁÆÍýÏë

Figure 24?·ÅÁƺ󸴷¢µÄǰÏßÏÙ°©»¼Õß·ÅÁÆÍýÏëÖаÐÇøºÍΣ¼°Æ÷¹ÙµÄÊÜÁ¿

Dr CamilleriÌåÏÖÔÚǰÏßÏÙ°©ÉÏ·ÅÉäÏûÈÚÖÎÁÆÓÐÏÔ×ÅÓÅÊÆ£¬£¬£¬£¬£¬£¬£¬ÏÖÓÐÊý¾ÝÒ²ÄÜÖ§³Ö·ÅÉäÏûÈÚÖÎÁƶÔÖÎÁÆÇ°ÏßÏÙ°©¹Ñ×ªÒÆµÄÓÅÊÆ¡£¡£¡£¡£¡£¡£Dr CamilleriÏÈÈÝÁËһλÔÚ2015Äê×öÁËǰÏßÏÙÇгýÊõµÄ»¼Õߣ¬£¬£¬£¬£¬£¬£¬ÔÚ2020Äê·¢Ã÷PSAÉý¸ß£¬£¬£¬£¬£¬£¬£¬PSMA PETɨÃèЧ¹ûÏÔʾÓиöÖ±³¦ÏµÄ¤ÁÜͶºÏ×ªÒÆ£¬£¬£¬£¬£¬£¬£¬²¡Ôî½ô¿¿Ö±³¦¡£¡£¡£¡£¡£¡£ÔÚMRIdianÉÏʹÓÃÔÚÏß×Ô˳ӦÊÖÒÕ¡¢×Ô¶¯Ö×Áö×·×ÙºÍ×Ô¶¯ÃſسöÊøÊÖÒÕ£¬£¬£¬£¬£¬£¬£¬·ÅÉäÏûÈÚÖÎÁƺÜÀֳɣ¬£¬£¬£¬£¬£¬£¬»¼ÕßÍê³ÉÖÎÁÆÈ·µ±Ìì¾ÍÈ¥¶È¼ÙÁË£¬£¬£¬£¬£¬£¬£¬Ã»Ó㦵À¸±×÷Óᣡ£¡£¡£¡£¡£SABRÖÎÁƺ󣬣¬£¬£¬£¬£¬£¬ËûµÄPSAˮƽҲ½µÏÂÀ´ÁË¡£¡£¡£¡£¡£¡£


Figure 27?ǰÏßÏÙ°©ÊõºóÁÜͶºÏ×ªÒÆ»¼ÕߵĵÚÒ»´ÎÖÎÁƺ͵ڶþ´ÎÖÎÁƵÄÔÚÏß×Ô˳Ӧ·ÅÁÆÍýÏë
Figure 28?ǰÏßÏÙ°©Five or Two(FORT)ÁÙ´²Ñо¿ÏÈÈÝ
GenesisCare¾ÙÐÐ×¼±¸Five or Two(FORT)ÁÙ´²Ñо¿µÄ¼ÁÁ¿Ö§½âģʽÈçÏ£º
-
PTV 37.5Gy£¨°ÐÇøÄÚ¿ÉÄÜͬ²½¼ÓÁ¿ÖÁ45Gy£©/5¸ö·Ö´Î/¸ôÈÕÖÎÁÆ£¬£¬£¬£¬£¬£¬£¬10ÌìÄÚÍê³ÉÁƳÌ
-
PTV 25Gy£¨°ÐÇøÄÚ¿ÉÄÜͬ²½¼ÓÁ¿ÖÁ28Gy£©/2¸ö·Ö´Î£¬£¬£¬£¬£¬£¬£¬6ÌìÄÚÍê³ÉÁƳÌ

Figure 29?ǰÏßÏÙ°©Five or Two(FORT)ÁÙ´²Ñо¿¼ÁÁ¿Ö§½âģʽ
ÃÀÖл¥ÀûÒ½ÁÆÓÐÏÞ¹«Ë¾ÊǸ´ÐÇÒ½Ò©Ò½ÁÆÆ÷еÊÂÒµ²¿£¨¸´ÐÇÒ½ÁÆÆ÷е£©µÄʵÌ廯ÔËӪƽ̨£¬£¬£¬£¬£¬£¬£¬Ê¼ÖÕÖÂÁ¦ÓÚÖйúÒ½ÁÆÆ÷еµÄÉú³¤¡£¡£¡£¡£¡£¡£×÷Ϊһ¼ÒÏȽøÒ½ÁÆ×°±¸µÄ¹©Ó¦É̺ÍÖйúÒ½ÁÆÆ÷еÐÐÒµ¼ùÐÐÕߣ¬£¬£¬£¬£¬£¬£¬×¨×¢ÎªÈ«ÇòÒ½ÁÆ¿µ½¡ÁìÓòÌṩ¸ßÖÊÁ¿µÄÒ½ÁÆ¿µ½¡Ïà¹Ø¿Æ¼¼¡¢²úÆ·¼°Ð§ÀÍ£¬£¬£¬£¬£¬£¬£¬Á¢Ö¾ÓÚ³ÉΪȫÇòÁ¢ÒìÒ½ÁÆÆ÷еºÍÊÖÒÕÌṩÕßµÄÕ½ÂÔÏàÖúͬ°é¡£¡£¡£¡£¡£¡£
¹«Ë¾ÎªÈ«ÇòÁ¢ÒìµÄÒ½ÁÆÊÖÒÕºÍÒ½ÁÆÆ÷ÐµÖÆÔìÉÌÌṩÁËÒ»¸öÆæÒìµÄÈ«·½Î»ÓªÏúƽ̨¡£¡£¡£¡£¡£¡£×¨ÒµÓÅÊÆº¸ÇÁ˲úÆ·×¢²á¡¢Êг¡ÓªÏú¡¢ÁÙ´²¿ÆÑС¢ÊÛºóЧÀÍ¡¢ÉÌÎñÏàÖú¡¢ÎïÁ÷²Ö´¢µÈ¡£¡£¡£¡£¡£¡£
ÏÖÔÚ¹«Ë¾ÓªÏúÓªÒµ¾Û½¹¹Ç¿Æ¡¢Éñ¾¡¢Ö×Áö¾«×¼ÖÎÁÆ¡¢Ò½ÃÀÒ½½Ì¡¢Ò½ÁƺIJĵȽ¹µãÈüµÀ¡£¡£¡£¡£¡£¡£
ÃÀ¹úÍþÈð¹«Ë¾ÒÀÍÐÏȽø¿Æ¼¼´´Á¢ÁËMRIdianϵͳ£º[2]
-
×°»úÊýÄ¿¶à¡ª¡ª54Ì×ϵͳ±é²¼È«Çò¾«×¼·ÅÉäÖÎÁÆÖÐÐÄ
-
»¼ÕßÊýÄ¿¶à¡ª¡ªÒÑΪȫÇòÁè¼Ý2.7ÍòÃû²¡»¼´øÀ´¿µ½¡
-
˳Ӧ֢ÆÕ±é¡ª¡ª¿ÉÒÔÁýÕÖÔ¼65ÖÖÖ×ÁöÁÙ´²Ë³Ó¦Ö¢
MRIdian´Å¹²ÕñÖ¸µ¼·ÅÉäÖÎÁÆÏµÍ³µÄÊÖÒÕÓÅÊÆ

È«ÐÂÊÓÒ°
¸ßÇåÎúʵʱ¿ÉÊÓ»¯ÏÔʾÖ×Áö½çÏß¼°ÖÜΧÔàÆ÷
ÍêÉÆËÜÐÎ
ƾ֤ÌìÌìÖÎÁưÐÇøµÄÆÊ½âת±ä×Ô¶¯µ÷½â¼Æ»®
¾«×¼¹¥»÷
ÒÔ×Ô¶¯Èí×éÖ¯´Å¹²Õñ³ÉÏñÖ¸µ¼ÉäÏß×·×ÙÖÎÁÆ
ͨÓûú·¿
ÎÞÐèÖØ´óˢм´¿ÉÔÚÏÖÓмÓËÙÆ÷»ú·¿ÄÚ×°ÖÃ
ÉùÃ÷£º±¾ÎÄÊÇÆ¾Ö¤Dr Philip CamilleriµÄÊÓÆµ·ÒëÕûÀíµÄÄÚÈÝ£¬£¬£¬£¬£¬£¬£¬½ö´ú±íDr Philip CamilleriµÄСÎÒ˽¼Ò¿´·¨£¬£¬£¬£¬£¬£¬£¬½ö¹©²Î¿¼£¬£¬£¬£¬£¬£¬£¬ÈôÓÐÎÊÌâÇëÁªÏµÐ¡±à¡£¡£¡£¡£¡£¡£Dr Philip CamilleriµÄÔÄÚÈÝÇë²Î¿¼ÉÏÃæµÄÊÓÆµ¡£¡£¡£¡£¡£¡£
Êý¾ÝȪԴ£º
[1]ȪԴÓÚBioSpace¹Ù·½ÍøÕ¾
[2]ȪԴÓÚÃÀ¹úÍþÈð¹«Ë¾ÌṩµÄÊý¾Ý
Ïà¹ØÔĶÁ
CHINDEX
-
´Å¹²Õñʵʱָµ¼·ÅÉäÖÎÁÆÍøÂç×êÑлá2022¼¾
-
Ö±»÷½ø²©»á£¬£¬£¬£¬£¬£¬£¬¿¹°©¡°ºÚ¿Æ¼¼¡±ÕýʽÉÏÊÐ
-
È«ÇòÁìÏȵÄMRIdian´Å¹²ÕñÖ¸µ¼·ÅÉäÖÎÁÆÏµÍ³ÔÚÖйú»ñÅúÉÏÊУ¬£¬£¬£¬£¬£¬£¬½«Îª¸ü¶àÖйú°©Ö¢»¼ÕßÌṩ·ÅÉäÖÎÁÆÐÂÑ¡Ôñ
-
MD°²µÂɰ©Ö¢ÖÐÐÄÑ¡ÔñViewRay½øÒ»²½ÍØÕ¹´Å¹²ÕñÖ¸µ¼·ÅÉäÖÎÁÆÁÙ´²Ó¦ÓÃ
-
Ö²ÈëÐÄÂÉÖÎÀí×°ÖõϼÕßÔõÑùÖ´ÐдŹ²ÕñÖ¸µ¼·ÅÉäÖÎÁÆ
-
¡¾ÍØÕ¹ÔĶÁ¡¿MRIdian´Å¹²ÕñÖ¸µ¼·ÅÉäÖÎÁÆÏµÍ³¸Ä±äǰÏßÏÙ°©·ÅÉäÖÎÁƵÄģʽ
-
´Å¹²Õñʵʱָµ¼·ÅÉäÖÎÁÆÍøÂç×êÑлá2021¼¾ -
ºË´ÅÖ¸µ¼·ÅÉäÖÎÁÆÏßÉÏÎÀÐÇ»á2021¼¾µÚÒ»ÆÚ
-
ºË´ÅÖ¸µ¼·ÅÉäÖÎÁÆÍøÂç×êÑлá2021¼¾µÚ¶þÆÚ

18101131600






