vic3308

2022-12-30

´Å¹²Õñʵʱָµ¼·ÅÉäÖÎÁÆÍøÂç×êÑлá2022¼¾

µã»÷ÉÏ·½À¶×Ö¹Ø×¢ÎÒÃÇ

CHINDEX


Ö÷Àí·½


¸´ÐÇÒ½ÁÆÆ÷еÃÀÖл¥ÀûÒ½ÁÆ

ÃÀ¹úÍþÈð¹«Ë¾/ViewRay Inc.


½»Á÷ÎÊÌâ


´Å¹²ÕñÖ¸µ¼·ÅÉäÖÎÁÆÔÚÒÈÏÙ°©ÖÎÁÆÖеÄ×÷ÓÃ


½»Á÷¼Î±ö


Prof. Dr. Enis Ozyar



Prof. Dr. Enis Ozyar½áÒµÓÚÒÁ˹̹²¼¶û´óѧCapaҽѧԺ£¬£¬£¬£¬£¬£¬£¬£¬²¢ÔÚHacettepe´óѧҽѧԺ·ÅÉäÖ×Áö²¿ÊÂÇéÁË14Äê¡£¡£¡£¡£¡£¡£ËûÔÚ·ÅÉäÖ×ÁöѧÁìÓòÓµÓи»ºñµÄÂÄÀú£¬£¬£¬£¬£¬£¬£¬£¬ÏÖÔÚÔÚÍÁ¶úÆäÒÁ˹̹²¼¶ûAcibademÒ½Ôºµ£µ±·ÅÉäÖ×Áöѧ½ÌÊÚ¡£¡£¡£¡£¡£¡£


ÄÚÈݼò½é


ÃÀ¹úÍþÈð¹«Ë¾×éÖ¯µÄϵÁÐÍøÂç×êÑлá×Ô2020ÄêÖÁ½ñÒÑÀֳɾÙÐжþÊ®Óà´Î£¬£¬£¬£¬£¬£¬£¬£¬À´×ÔÈ«ÇòµÄÊý°ÙÃûMRIdianÓû§ÔÚÕâ¸öƽ̨ÉÏ·ÖÏíÁËËûÃǸ÷×ÔµÄʹÓÃÂÄÀú¡£¡£¡£¡£¡£¡£

ÈÉÒúËêÄ©£¬£¬£¬£¬£¬£¬£¬£¬¸´ÐÇÒ½ÁÆÆ÷еÆìϵÄÃÀÖл¥ÀûÒ½ÁÆÓëÃÀ¹úÍþÈð¹«Ë¾ÍŽáÔ¼ÇëÁËÊýÃûÈ«Çò×ÊÉîMRIdianÓû§ÔÚÉϺ£ÀֳɾÙÐÐÁË¡°MRIdian´Å¹²ÕñÖ¸µ¼¾«×¼·ÅÉäÖÎÁÆÁÙ´²×êÑлᡱ¡£¡£¡£¡£¡£¡£ÎÒÃÇ´ÓÖо«Ñ¡ÁËÈýƪר¼ÒÑݽ²£¬£¬£¬£¬£¬£¬£¬£¬²¢Ô¼Ç뺣ÄÚ·ÅÉäÖ×Áöר¼ÒЭÖúÍŽảÄÚÖ×Áö·ÅÉäÖÎÁƵÄÁÙ´²ÌØµã½øÒ»²½Éî¶È½â¶Á£¬£¬£¬£¬£¬£¬£¬£¬Ï£ÍûÄܶÔÁÐλרҵ¶ÁÕßÓÐËùñÔÒæ£¡±¾ÆªÎÄÕÂÊÇϵÁзÖÏíµÄµÚһƪ£¬£¬£¬£¬£¬£¬£¬£¬½Ó´ý¸÷È˶àÌáÃû¹óÒâ¼û£¡ÎÒÃǻᾡ¿ì¸üкóÐøÉî¶È½â¶Á£¬£¬£¬£¬£¬£¬£¬£¬¾´ÇëÁÐλ¶ÁÕß¾²ºò¼ÑÕ£¡


´Å¹²ÕñÖ¸µ¼·ÅÉäÖÎÁÆÔÚÒÈÏÙ°©ÖÎÁÆÖеÄ×÷ÓÃ


01


ǰÑÔ


±¾´Î×êÑлᣬ£¬£¬£¬£¬£¬£¬£¬ÎÒÃÇÓÐÐÒÔ¼Çëµ½ÍÁ¶úÆäÒÁ˹̹²¼¶ûAcibadem´óѧµÄ·ÅÉäÖ×Áöѧ½ÌÊÚDr. Enis Ozyar¾ÍÒÈÏÙ°©µÄ´Å¹²ÕñÖ¸µ¼·ÅÉäÖÎÁÆÁÙ´²Ó¦ÓÃÂÄÀú´øÀ´¾«²ÊÑݽ²¡£¡£¡£¡£¡£¡£ËûÃÇÔÚ2Äê×óÓÒµÄʱ¼äÀïʹÓÃMRIdian´Å¹²Õñ¼ÓËÙÆ÷Íê³ÉÁËÁè¼Ý1000Àý»¼ÕßµÄÖÎÁÆ£¬£¬£¬£¬£¬£¬£¬£¬Dr. Enis OzyarÒ²·ÖÏíÁËËûʹÓÃMRIdian¿ªÕ¹ÒÈÏÙ°©MRgRTµÄÆðÔ´ÁÙ´²Ð§¹û¡£¡£¡£¡£¡£¡££¨ÎÄÕÂ×îºó´¦ÓÐDr. Enis OzyarµÄÍêÕû±¨¸æÊÓÆµ£¬£¬£¬£¬£¬£¬£¬£¬½Ó´ýµã»÷ԢĿ£©


02


ÒÈÏÙ°©·ÅÁÆÊÖÒÕ»ØÊ×


Dr. OzyarÊ×ÏÈ»ØÊ×ÁËËæ×Å·ÅÁÆÊÖÒյĽø²½£º´Ó2D·ÅÁÆ+MVÓ°ÏñÅä×¼£¬£¬£¬£¬£¬£¬£¬£¬µ½ÈýάCRT¡¢µ÷Ç¿·ÅÁÆ+KV-CBCTÓ°ÏñÅä×¼£¬£¬£¬£¬£¬£¬£¬£¬ÔÙµ½MRÓ°ÏñÖ¸µ¼ÏµÄÔÚÏß×Ô˳Ӧ·ÅÁÆ+ʵʱMRÓ°Ï·³ÉÏñϵÄ×·×ÙÖÎÁÆ£¬£¬£¬£¬£¬£¬£¬£¬ÏÖÔÚÁÙ´²ÒѾ­ÄÜ×öµ½¸öÌ廯µÄ·ÅÉäÏûÈÚÖÎÁÆ¡£¡£¡£¡£¡£¡£Ëæ×Å·ÅÉäÖÎÁÆÔ½À´Ô½¸öÌ廯¡¢¾«×¼»¯£¬£¬£¬£¬£¬£¬£¬£¬ÎÒÃÇ¿ÉÒÔ×öµ½ÔÚÕý³£×éÖ¯¸üµÍ¼ÁÁ¿µÄÇéÐÎϸøÓèÖ×Áö¸ü¸ßµÄÕÕÉä¼ÁÁ¿¡£¡£¡£¡£¡£¡£


ͼ1?Dr. Ozyar»ØÊ×ÁË·ÅÁÆÊÖÒÕµÄǰ½ø

Dr. OzyarÌåÏÖ£¬£¬£¬£¬£¬£¬£¬£¬CÐͱۼÓËÙÆ÷£¬£¬£¬£¬£¬£¬£¬£¬TOMO£¬£¬£¬£¬£¬£¬£¬£¬CyberKnife£¬£¬£¬£¬£¬£¬£¬£¬Ethos£¬£¬£¬£¬£¬£¬£¬£¬MRIdianͶÉäµÄ¼ÁÁ¿Ïà²î²»´ó£¬£¬£¬£¬£¬£¬£¬£¬¿ÉÊÇMRIdian½èÖú´Å¹²ÕñÓ°Ïñ£¬£¬£¬£¬£¬£¬£¬£¬ÄÜÔÚ×Ô˳Ӧ·ÅÁÆÖиüºÃµØ·¢Ã÷Ö×ÁöºÍÖÜΧÕý³£Æ÷¹ÙµÄ¸Ä±ä£¬£¬£¬£¬£¬£¬£¬£¬²¢ÇÒÄÜ×öµ½ÊµÊ±Ó°Ï·³ÉÏñϵÄ×·×Ù¡£¡£¡£¡£¡£¡£ÒÔÒÈÏÙ°©ÎªÀý£¬£¬£¬£¬£¬£¬£¬£¬ÓÉÓÚMRIdianÊÖÒÕÉϵÄˢУ¬£¬£¬£¬£¬£¬£¬£¬ÕÕÉ乿ģÓÉͨÀý·ÅÁƲ»¾ÙÐкôÎüÃſصĽϴó°ÐÇøÊµÏÖÁË´ó¹æÄ£µÄËõ¼õ£¬£¬£¬£¬£¬£¬£¬£¬¼ÁÁ¿ÓÉͨÀýÖÎÁƵķǸùÖμÁÁ¿ÉÏÉýΪSBRT¸ùÖμÁÁ¿£¬£¬£¬£¬£¬£¬£¬£¬´ÎÊýÓÉͨÀý·ÅÁƵÄ25-30´ÎËõ¼õµ½5´ÎÉõÖÁ¸üÉÙ¡£¡£¡£¡£¡£¡£


ͼ2?¹Å°å·ÅÁƺÍMRIdianÔÚÒÈÏÙ°©ÖÎÁưÐÇø¾ÞϸµÄ²î±ð


03


ÒÈÏÙ°©·ÅÁÆÐ§¹û»ØÊ×


Dr. Ozyarö¾ÙÁËÆ¾Ö¤MD AndersonµÄÑо¿£¬£¬£¬£¬£¬£¬£¬£¬¶ÔͨÀýÖ§½â·ÅÁÆÀ´Ëµ£¬£¬£¬£¬£¬£¬£¬£¬µÈЧÉúÎï¼ÁÁ¿BED£¾70GyÊÇÓ°ÏìÒÈÏÙ°©»¼ÕßÔ¤ºóµÄÖ÷ÒªÒòËØ¡£¡£¡£¡£¡£¡£ÔÚÒ»ÏîConventionally Fractionated Radiation Therapy Versus Stereotactic Body Radiation Therapy for Locally Advanced Pancreatic Cancer(CRiSP)µÄMetaÆÊÎöÖУ¬£¬£¬£¬£¬£¬£¬£¬½ÏÁ¿ÁË2002-2014Äê¾Ö²¿Ï£ÍûÆÚÒÈÏÙ°©Í¨ÀýÖ§½âºÍSBRTµÄÁÙ´²Ð§¹û£¬£¬£¬£¬£¬£¬£¬£¬Ö»¹ÜSBRTµÄÖÐλ¼ÁÁ¿½öΪBED48Gy£¨30Gy/ÿ´Î6Gy£©£¬£¬£¬£¬£¬£¬£¬£¬Ïà±ÈͨÀýÖ§½âµÄ¼ÁÁ¿BED60-64Gy£¨45-54Gy/ÿ´Î1.8-2Gy£©¸üµÍ¡£¡£¡£¡£¡£¡£µ«2Äê×ÜÉúÑÄÂʺͶ¾ÐÔ±ÈÀý£¬£¬£¬£¬£¬£¬£¬£¬SBRT»¼Õß»®·ÖΪ26.9%/5.6%£¬£¬£¬£¬£¬£¬£¬£¬Í¨ÀýÖ§½â»¼Õß»®·ÖΪ13.7%/37.7%£¬£¬£¬£¬£¬£¬£¬£¬ÏÔʾÁËSBRTÔÚÖÎÁÆÒÈÏÙ°©ÉÏÏà±ÈͨÀýÖ§½âµÄÓÅÔ½ÐÔ¡£¡£¡£¡£¡£¡£

ÔÚÒ»ÏîDose Escalation in Stereotactic Body Radiation Therapy for Pancreatic CancerµÄMetaÆÊÎöÖУ¬£¬£¬£¬£¬£¬£¬£¬»ØÊ×ÁË15¸öÁÙ´²Ñо¿µÄ508λ¾Ö²¿Ï£ÍûÆÚÒÈÏÙ°©»¼Õߣ¬£¬£¬£¬£¬£¬£¬£¬·¢Ã÷BED£¾70Gy×éÒ»ÄêµÄ¾Ö¿ØÂÊΪ83%£¬£¬£¬£¬£¬£¬£¬£¬BED£¼70Gy×éÔòΪ60%¡£¡£¡£¡£¡£¡£¹ØÓÚSBRTÖÎÁÆ£¬£¬£¬£¬£¬£¬£¬£¬BED£¾70GyÒ²ÊÇÓ°ÏìÒÈÏÙ°©»¼ÕßÔ¤ºóµÄÖ÷ÒªÒòËØ¡£¡£¡£¡£¡£¡£


ͼ3?MD AndersonµÄÑо¿£¬£¬£¬£¬£¬£¬£¬£¬¶ÔͨÀýÖ§½â·ÅÁÆÀ´Ëµ£¬£¬£¬£¬£¬£¬£¬£¬µÈЧÉúÎï¼ÁÁ¿BED£¾70GyÊÇÓ°ÏìÒÈÏÙ°©»¼ÕßÔ¤ºóµÄÖ÷ÒªÒòËØ


04


´Å¹²ÕñÖ¸µ¼·ÅÁƹØÓÚÖÎÁÆÒÈÏÙ°©µÄÓÅÊÆ


´Å¹²ÕñÖ¸µ¼·ÅÁƹØÓÚÖÎÁÆÒÈÏÙ°©µÄÓÅÊÆ£¬£¬£¬£¬£¬£¬£¬£¬Dr. Ozyar×ܽáÈçÏ£º

  • ´Å¹²ÕñÓ°ÏñÓиüºÃµÄÈí×éÖ¯±ÈÕÕ¶È£¬£¬£¬£¬£¬£¬£¬£¬ÄÜÇåÎúÏÔʾÖ×ÁöºÍÖÜΧµÄΣ¼°Æ÷¹Ù

  • ÎÞÐèÓд´Ö²Èë½ð±ê

  • ¸üСµÄPTVÍâÀ©¹æÄ££¬£¬£¬£¬£¬£¬£¬£¬ïÔÌ­ÁËÕý³£×éÖ¯µÄÕÕÉä¼ÁÁ¿

  • ÔÚÏß×Ô˳ӦÍýÏëÄܾ«×¼µØ¶Ôÿ´ÎÖÎÁÆÊ±ÒÈÏÙ°©ºÍÖÜΧÕý³£Æ÷¹ÙµÄÆÊ½â¸Ä±ä¾ÙÐÐÖØÐ¼ÁÁ¿ËÜÐÔ

  • ÔÚ³öÊøÀú³ÌÖÐÄÜʵʱ׷×ÙÖ×Áö


ͼ4?´Å¹²ÕñÖ¸µ¼·ÅÁƹØÓÚÖÎÁÆÒÈÏÙ°©µÄÓÅÊÆ×ܽá

¹ØÓÚʹÓôʲÕñÖ¸µ¼£¨×°±¸ÎªMRIdian£©·ÅÉäÖÎÁƵÄÒÈÏÙ°©ÁÙ´²Ñо¿-Using adaptive magnetic resonance image-guided radiation therapy for treatment of inoperable pancreatic cancerÖУ¬£¬£¬£¬£¬£¬£¬£¬¸ß¼ÁÁ¿ºÍµÍ¼ÁÁ¿×黼Õß2ÄêµÄ×ÜÉúÑÄÂÊ»®·ÖΪ49%ºÍ30%¡£¡£¡£¡£¡£¡£


ͼ5?¹ØÓÚʹÓôʲÕñÖ¸µ¼·ÅÁÆ×°±¸£¨×°±¸ÎªMRIdian£©ÖÎÁƵÄÒÈÏÙ°©ÁÙ´²Ñо¿


ÔÚÂõ°¢ÃÜ´óѧҽѧԺ±¨µÀµÄAblative 5-Fraction Stereotactic Magnetic Resonance-Guided Radiation Therapy With On-Table Adaptive Replanning and Elective Nodal Irradiation for Inoperable Pancreas CancerµÄÑо¿ÖУ¬£¬£¬£¬£¬£¬£¬£¬MRIdian´Å¹²ÕñÖ¸µ¼ÔÚÏß×Ô˳Ӧ·ÅÉäÏûÈÚÖÎÁƵÄ40Ãû²»¿ÉÊÖÊõÒÈÏÙ°©»¼ÕßÒ»Äê¾Ö¿ØÂÊΪ87.8%£¬£¬£¬£¬£¬£¬£¬£¬Ò»Äê×ÜÉúÑÄÂÊΪ58.9%£¬£¬£¬£¬£¬£¬£¬£¬¢ó¶È¼°ÒÔÉ϶¾ÐÔ½öΪ2.9%¡£¡£¡£¡£¡£¡£


ͼ6?Âõ°¢ÃÜ´óѧҽѧԺ±¨µÀµÄMRIdian¶Ô40Ãû²»¿ÉÊÖÊõµÄÒÈÏÙ°©»¼ÕßµÄÖÎÁÆÐ§¹û


05


ʹÓÃMRIdianÖÎÁÆÒÈÏÙ°©µÄÂÄÀú


?

Ñ¡ÔñÔÚ»¼Õ߯ÁÆøÏ¾ÙÐÐÈýάÈÝ»ýMRIÊÕÂÞ

Dr. Ozyar»ØÊ×ÁËMRIdianÔÚAcibademҽԺװ»úµÄÕû¸öÀú³Ì£¬£¬£¬£¬£¬£¬£¬£¬²¢ÔÚ×°»úºó¾ÙÐÐÁËÐí¶àÊÔÑéÐÔʵÑé¡£¡£¡£¡£¡£¡£·¢Ã÷£¬£¬£¬£¬£¬£¬£¬£¬ÓÉÓÚMRIdianÄÜÔڽ϶̵Äʱ¼äÄÚ¾ÙÐÐÈýάÈÝ»ýMRIÊÕÂÞ£¬£¬£¬£¬£¬£¬£¬£¬¹ÊÑ¡ÔñÔÚ»¼Õ߯ÁÆø×´Ì¬Ï¾ÙÐÐÖðÈÕ×Ô˳ӦÍýÏëËùÐèµÄÈýάMRIͼÏñÊÕÂÞ£¬£¬£¬£¬£¬£¬£¬£¬ÒÔïÔÌ­»¼ÕߺôÎüÔ˶¯µ¼ÖµÄαӰ¡£¡£¡£¡£¡£¡£


ͼ7?ÓÉÓÚMRIdianÄÜÔÚºÜÊǶ̵Äʱ¼äÄÚ¾ÙÐÐÈýάÈÝ»ýMRIÊÕÂÞ£¬£¬£¬£¬£¬£¬£¬£¬¹ÊDr. OzyarÑ¡ÔñÔÚ»¼Õ߯ÁÆø×´Ì¬Ï¾ÙÐÐÖðÈÕ×Ô˳ӦÍýÏëËùÐèµÄMRIͼÏñµÄÊÕÂÞ£¬£¬£¬£¬£¬£¬£¬£¬ÒÔïÔÌ­»¼ÕߺôÎüÔ˶¯µ¼ÖµÄαӰ


?

·ÅÁÆÇ°×¼±¸

  • »¼ÕßÔÚ¶¨Î»ºÍÖÎÁÆÊ±¶¼¾ÙÐÐ3¸öСʱµÄ½ûʳ

  • ÔÚ¶¨Î»½×¶Î¾ÙÐÐÉϸ¹²¿ÈýÏàCTºÍViewRay MRɨÃè

  • ÖÎÁÆÊ¦¹´»­Éϸ¹²¿Õý³£Æ÷¹Ù£¬£¬£¬£¬£¬£¬£¬£¬°üÀ¨Ñª¹ÜºÍÕý³£ÒÈÏÙ

  • Ö×Áöҽʦ¹´»­GTV

  • ½éÈëҽʦȷÈÏËùÓй´»­


?

ʹÓÃMRIdianÔÚÏß×Ô˳ӦÍýÏëµÄÂÄÀú

£¨1)ÔÚÖÎÁÆÇ°Îª»¼ÕßÉèÖÿÚÖÜË®£¬£¬£¬£¬£¬£¬£¬£¬ÒÔ¸üÇåÎúµØÏÔʾʮ¶þÖ¸³¦ºÍθ


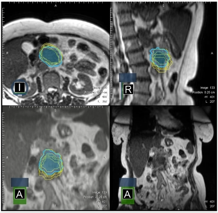
ͼ8?MRIdianÔÚTrue FISPÐòÁÐMRIͼÏñÉÏÇåÎúµØÏÔʾÁËÒÈÏÙÖ×Áö

£¨2)ÔÚÿ´ÎÖÎÁÆÇ°É¨Ãè»ñµÃÇåÎúµÄMRIͼÏñ£¬£¬£¬£¬£¬£¬£¬£¬ÖØÐ¹´»­GTV²¢ÖÆ×÷ÔÚÏß×Ô˳ӦÍýÏ룬£¬£¬£¬£¬£¬£¬£¬°Ñ5¸ö·Ö´Î²î±ðµÄGTV¹´»­¾ÙÐеþ¼Ó£¬£¬£¬£¬£¬£¬£¬£¬·¢Ã÷ÔÚÒÈÏÙ°©SBRTµÄ5¸ö·Ö´ÎÖÎÁÆÊ±£¬£¬£¬£¬£¬£¬£¬£¬GTVµÄ¹´»­×ª±ä½Ï´ó¡£¡£¡£¡£¡£¡£


ͼ9 °Ñ5¸ö·Ö´Î²î±ðµÄGTV¹´»­¾ÙÐеþ¼Ó£¬£¬£¬£¬£¬£¬£¬£¬·¢Ã÷ÔÚÒÈÏÙ°©SBRTµÄ5¸ö·Ö´ÎÖÎÁÆÊ±´ú£¬£¬£¬£¬£¬£¬£¬£¬GTVµÄ¹´»­×ª±ä½Ï´ó


Dr. OzyarÌåÏÖ£¬£¬£¬£¬£¬£¬£¬£¬Í¨¹ýÔÚÿ¸ö·Ö´Î×ö¼ÁÁ¿Õ¹Íû£¬£¬£¬£¬£¬£¬£¬£¬·¢Ã÷ÈôÊÇʼÖÕʹÓÃÔ­ÍýÏëµÄ»°£¬£¬£¬£¬£¬£¬£¬£¬GTVºÍPTV»á´ó·ù¶ÈÇ·Á¿£¬£¬£¬£¬£¬£¬£¬£¬Í¨¹ýÔÚÏß×Ô˳ӦÍýÏëARTÄܾÀÕýÕâÒ»µã£¬£¬£¬£¬£¬£¬£¬£¬Èçͼ10Ëùʾ¡£¡£¡£¡£¡£¡£


ͼ 10?ͨ¹ýÔÚÿ¸ö·Ö´Î×ö¼ÁÁ¿Õ¹Íû£¬£¬£¬£¬£¬£¬£¬£¬·¢Ã÷ÈôÊÇʼÖÕʹÓÃÔ­ÍýÏëµÄ»°£¬£¬£¬£¬£¬£¬£¬£¬GTVºÍPTV»á´ó·ù¶ÈÇ·Á¿£¬£¬£¬£¬£¬£¬£¬£¬Í¨¹ýÔÚÏß×Ô˳ӦÍýÏëARTÄܾÀÕýÕâÒ»µã


?ÔÚ³öÊøÖоÙÐл¼Õß¶Ë×Ô·´ÏìϵͳµÄʵʱÈí×é֯׷×ÙºÍ×Ô¶¯³öÊøÃÅ¿Ø

ÔÚ·ÅÁÆÊ±´ú£¬£¬£¬£¬£¬£¬£¬£¬»¼ÕßÌåÄÚ¿ÉÄÜ»áÓÉÓÚºôÎüÔ˶¯¡¢Î¸³¦ÄÚÆøÌåת±äµÈ£¬£¬£¬£¬£¬£¬£¬£¬µ¼ÖÂÖ×ÁöºÍÖÜΧΣ¼°Æ÷¹Ù(OARs)µÄλÖúÍÐÎ״ѸËٸıä¡£¡£¡£¡£¡£¡£MRIdian¿ÉÒÔÊÕÂ޴ʲÕñÓ°Ï·³ÉÏñ£¨8Ö¡/Ã룩²¢×Ô¶¯×·×Ù°Ð×éÖ¯ºÍΣ¼°Æ÷¹Ù£¬£¬£¬£¬£¬£¬£¬£¬µ±Ö×Áö£¨ÀýÈçͼ11ÓÒϺìÉ«¹´»­£©Òƶ¯µ½Ô¤ÉèµÄÖÎÁÆ´°£¨ÀýÈçͼ11ÓÒÏ»ÆÉ«¹´»­£©Ö®Íâ»òÊÇΣ¼°Æ÷¹ÙÒÆ¶¯µ½ÖÎÁÆ´°Ö®ÄÚ£¬£¬£¬£¬£¬£¬£¬£¬×°±¸×Ô¶¯Í£Êø£»£»£»£» £»£»£»µ±Ö×ÁöÒÆ»ØÖÎÁÆ´°Ö®ÄÚ£¬£¬£¬£¬£¬£¬£¬£¬×°±¸×Ô¶¯»Ö¸´³öÊø¡£¡£¡£¡£¡£¡£Í¬Ê±ÔÚÖÎÁÆÀú³ÌÖУ¬£¬£¬£¬£¬£¬£¬£¬»¼ÕßÒ²ÄÜ¿´µ½ÕâЩʵʱMRIÓ°Ï·³ÉÏñ£¬£¬£¬£¬£¬£¬£¬£¬Òò¶ø¿ÉÒÔ×ÔÖ÷·´ÏìµØ¿ØÖƺôÎü£¬£¬£¬£¬£¬£¬£¬£¬Ê¹µÃÆäÌåÄÚÖ×ÁöÔÚÖ»¹Ü¶àµÄʱ¼äÄÚ½øÈëÖÎÁÆ´°£¬£¬£¬£¬£¬£¬£¬£¬Õâ´ó´óÔöÌíÁË»¼ÕßÔÚÖÎÁÆÖ×ÁöʱµÄÐÅÐÄ£¬£¬£¬£¬£¬£¬£¬£¬Í¬Ê±Ìá¸ßÁËÖÎÁÆÐ§ÂÊ¡£¡£¡£¡£¡£¡£


ͼ 11?MRIdianµÄʵʱӰϷ³ÉÏñ£¨8Ö¡/Ã룩ºÍ»¼Õß¶Ë×Ô·´ÏìµÄ×é֯׷×ÙºÍ×Ô¶¯ÃÅ¿Ø


06


ʹÓÃMRIdianÖÎÁÆÒÈÏÙ°©µÄÆðÔ´ÁÙ´²Ð§¹û


Dr. Ozyarͳ¼ÆÁËAcibadem´óѧÁ¥ÊôÒ½ÔºÖÎÁƵÄ26¸öÒÈÏÙ°©»¼ÕßµÄÊý¾Ý£¬£¬£¬£¬£¬£¬£¬£¬Ò»ÄêµÄ¾Ö¿ØÂÊLCΪ83.5%£¬£¬£¬£¬£¬£¬£¬£¬ÎÞ¢ó¶È¼°ÒÔÉ϶¾ÐÔ£¬£¬£¬£¬£¬£¬£¬£¬´ËÏµÀ½ÒÏþÔÚÁËESTRO2021Äê»áÉÏ¡£¡£¡£¡£¡£¡£


Ëû½«×Ô¼ºÒ½ÔºµÄÊý¾ÝºÍÆäËü×°ÖÃMRIdianÒ½ÔºµÄÊý¾ÝºÏ²¢ºó£¬£¬£¬£¬£¬£¬£¬£¬ÒÈÏÙ°©Ò»ÄêºÍÁ½ÄêµÄ¾Ö¿ØÂÊLC»®·ÖΪ94.6%ºÍ83%£¬£¬£¬£¬£¬£¬£¬£¬´ËÏµÀÒ²½ÒÏþÔÚÁËESTRO2021Äê»áÉϲ¢×öÁË¿ÚÍ·³ÂÊö¡£¡£¡£¡£¡£¡£Dr. OzyarÌåÏÖ£¬£¬£¬£¬£¬£¬£¬£¬MRÖ¸µ¼µÄSBRT£¬£¬£¬£¬£¬£¬£¬£¬ÔÚʵÏֿɽÓÊܵ;ÐÔÌõ¼þÏ£¬£¬£¬£¬£¬£¬£¬£¬ÊǸøÓèÖ×Áö¸ùÖμÁÁ¿µÄÊÖÒÕ£¬£¬£¬£¬£¬£¬£¬£¬ÏÔÖøµØ¸ÄÉÆ»¼ÕßµÄÔ¤ºó¡£¡£¡£¡£¡£¡£


ͼ12?Dr. OzyarÏÈÈÝÁËÆäËùÔÚµÄAcibadem´óѧÁ¥ÊôҽԺʹÓÃMRIdianÖÎÁÆÒÈÏÙ°©µÄÊý¾Ý






¹ØÓÚÃÀÖл¥ÀûÒ½ÁÆ

ÃÀÖл¥ÀûÒ½ÁÆÓÐÏÞ¹«Ë¾ÊǸ´ÐÇÒ½Ò©Ò½ÁÆÆ÷еÊÂÒµ²¿£¨¸´ÐÇÒ½ÁÆÆ÷е£©µÄʵÌ廯ÔËӪƽ̨£¬£¬£¬£¬£¬£¬£¬£¬Ê¼ÖÕÖÂÁ¦ÓÚÖйúÒ½ÁÆÆ÷еµÄÉú³¤¡£¡£¡£¡£¡£¡£×÷Ϊһ¼ÒÏȽøÒ½ÁÆ×°±¸µÄ¹©Ó¦É̺ÍÖйúÒ½ÁÆÆ÷еÐÐÒµ¼ùÐÐÕߣ¬£¬£¬£¬£¬£¬£¬£¬×¨×¢ÎªÈ«ÇòÒ½ÁÆ¿µ½¡ÁìÓòÌṩ¸ßÖÊÁ¿µÄÒ½ÁÆ¿µ½¡Ïà¹Ø¿Æ¼¼¡¢²úÆ·¼°Ð§ÀÍ£¬£¬£¬£¬£¬£¬£¬£¬Á¢Ö¾ÓÚ³ÉΪȫÇòÁ¢ÒìÒ½ÁÆÆ÷еºÍÊÖÒÕÌṩÕßµÄÕ½ÂÔÏàÖúͬ°é¡£¡£¡£¡£¡£¡£


¹«Ë¾ÎªÈ«ÇòÁ¢ÒìµÄÒ½ÁÆÊÖÒÕºÍÒ½ÁÆÆ÷ÐµÖÆÔìÉÌÌṩÁËÒ»¸öÆæÒìµÄÈ«·½Î»ÓªÏúƽ̨¡£¡£¡£¡£¡£¡£×¨ÒµÓÅÊÆº­¸ÇÁ˲úÆ·×¢²á¡¢Êг¡ÓªÏú¡¢ÁÙ´²¿ÆÑС¢ÊÛºóЧÀÍ¡¢ÉÌÎñÏàÖú¡¢ÎïÁ÷²Ö´¢µÈ¡£¡£¡£¡£¡£¡£


ÏÖÔÚ¹«Ë¾ÓªÏúÓªÒµ¾Û½¹¹Ç¿Æ¡¢Éñ¾­¡¢Ö×Áö¾«×¼ÖÎÁÆ¡¢Ò½ÃÀÒ½½Ì¡¢Ò½ÁƺIJĵȽ¹µãÈüµÀ¡£¡£¡£¡£¡£¡£



¹ØÓÚ ViewRay, Inc.
ÃÀ¹úÍþÈð¹«Ë¾£¨ViewRay Inc.£©ÊÇÀ´×ÔÒ»¼ÒרעÓÚÑз¢¹¥¿Ë°©Ö¢¼â¶Ë·ÅÉäÖÎÁÆÊÖÒÕµÄÃÀ¹úÒ½ÁÆ×°±¸¹«Ë¾£¬£¬£¬£¬£¬£¬£¬£¬ÆäÔÚÈ«Çò×îÐÂÍÆ³öµÄMRIdian´Å¹²Õñʵʱָµ¼·ÅÉäÖÎÁÆÏµÍ³ÊÇÕûºÏÁ˴ʲÕñÈí×é֯ʵʱ³ÉÏñºÍÔÚÏß×Ô˳Ӧ·ÅÉäÖÎÁƵÈÁ¢ÒìÊÖÒÕÓÚÒ»ÉíµÄ¾«×¼Ö×ÁöÖÎÁÆÏµÍ³¡£¡£¡£¡£¡£¡£MRIdianϵͳ²»µ«½öÊÇÒ»ÖÖȫеķÅÁÆ×°±¸£¬£¬£¬£¬£¬£¬£¬£¬¸ü´ú±íÁ˸ïÃüÐԵķÅÁÆÊÖÒÕ£¡ÔÚÁÙ´²¿ÉÒÔ×öµ½ÕæÕýµÄʵʱ¿ÉÊÓ»¯·ÅÉäÖÎÁƺÍ×Ô˳Ӧ·ÅÉäÖÎÁÆ£¬£¬£¬£¬£¬£¬£¬£¬ÊµÏÖÍêÉÆ¹¥»÷Ö×Áö£¬£¬£¬£¬£¬£¬£¬£¬Îª»¼Õß´øÀ´¿µ½¡£¡

ÃÀ¹úÍþÈð¹«Ë¾ÒÀÍÐÏȽø¿Æ¼¼´´Á¢ÁËMRIdianϵͳ£º*
  • ×°»úÊýÄ¿¶à¡ª¡ª54Ì×ϵͳ±é²¼È«Çò¾«×¼·ÅÉäÖÎÁÆÖÐÐÄ
  • »¼ÕßÊýÄ¿¶à¡ª¡ªÒÑΪȫÇòÁè¼Ý2.7ÍòÃû²¡»¼´øÀ´¿µ½¡
  • ˳Ӧ֢ÆÕ±é¡ª¡ª¿ÉÒÔÁýÕÖÔ¼65ÖÖÖ×ÁöÁÙ´²Ë³Ó¦Ö¢


MRIdian´Å¹²ÕñÖ¸µ¼·ÅÉäÖÎÁÆÏµÍ³µÄÊÖÒÕÓÅÊÆ


È«ÐÂÊÓÒ°

¸ßÇåÎúʵʱ¿ÉÊÓ»¯ÏÔʾÖ×Áö½çÏß¼°ÖÜΧÔàÆ÷


ÍêÉÆËÜÐÎ

ƾ֤ÌìÌìÖÎÁưÐÇøµÄÆÊ½âת±ä×Ô¶¯µ÷½â¼Æ»®


¾«×¼¹¥»÷

ÒÔ×Ô¶¯Èí×éÖ¯´Å¹²Õñ³ÉÏñÖ¸µ¼ÉäÏß×·×ÙÖÎÁÆ


ͨÓûú·¿

ÎÞÐèÖØ´óˢм´¿ÉÔÚÏÖÓмÓËÙÆ÷»ú·¿ÄÚ×°ÖÃ


ÉùÃ÷£º±¾ÎÄÊÇÆ¾Ö¤Prof. Dr. Enis OzyarµÄÊÓÆµ·­ÒëÕûÀíµÄÄÚÈÝ£¬£¬£¬£¬£¬£¬£¬£¬½ö¹©²Î¿¼£¬£¬£¬£¬£¬£¬£¬£¬ÈôÓÐÎÊÌâÇëÁªÏµÐ¡±à¡£¡£¡£¡£¡£¡£Prof. Dr. Enis OzyarµÄÔ­ÄÚÈÝÇë²Î¿¼ÉÏÃæµÄÊÓÆµ¡£¡£¡£¡£¡£¡£

Êý¾ÝȪԴ£º*ȪԴÓÚÃÀ¹úÍþÈð¹«Ë¾ÌṩµÄÊý¾Ý



Ïà¹ØÔĶÁ

CHINDEX


  • Ö±»÷½ø²©»á£¬£¬£¬£¬£¬£¬£¬£¬¿¹°©¡°ºÚ¿Æ¼¼¡±ÕýʽÉÏÊÐ

  • È«ÇòÁìÏȵÄMRIdian´Å¹²ÕñÖ¸µ¼·ÅÉäÖÎÁÆÏµÍ³ÔÚÖйú»ñÅúÉÏÊУ¬£¬£¬£¬£¬£¬£¬£¬½«Îª¸ü¶àÖйú°©Ö¢»¼ÕßÌṩ·ÅÉäÖÎÁÆÐÂÑ¡Ôñ

  • MD°²µÂÉ­°©Ö¢ÖÐÐÄÑ¡ÔñViewRay½øÒ»²½ÍØÕ¹´Å¹²ÕñÖ¸µ¼·ÅÉäÖÎÁÆÁÙ´²Ó¦ÓÃ

  • Ö²ÈëÐÄÂÉÖÎÀí×°ÖõϼÕßÔõÑùÖ´ÐдŹ²ÕñÖ¸µ¼·ÅÉäÖÎÁÆ

  • ¡¾ÍØÕ¹ÔĶÁ¡¿MRIdian´Å¹²ÕñÖ¸µ¼·ÅÉäÖÎÁÆÏµÍ³¸Ä±äǰÏßÏÙ°©·ÅÉäÖÎÁƵÄģʽ
  • ´Å¹²Õñʵʱָµ¼·ÅÉäÖÎÁÆÍøÂç×êÑлá2021¼¾
  • ºË´ÅÖ¸µ¼·ÅÉäÖÎÁÆÏßÉÏÎÀÐÇ»á2021¼¾µÚÒ»ÆÚ
  • ºË´ÅÖ¸µ¼·ÅÉäÖÎÁÆÍøÂç×êÑлá2021¼¾µÚ¶þÆÚ



³Ï´ý´¹Ñ¯
ÅËÔÆ·æ
²úÆ·×ܼà

18101131600



ɨÃè¶þάÂë
Éó²é¸ü¶à¾«²Ê
ÈôÓÐÒÉÎʽӴýÖµç
010-65528822


¡¾ÍøÕ¾µØÍ¼¡¿¡¾sitemap¡¿